Karang Gigi In English : Karang gigi memberi plak area luas untuk berkembang dan menyebabkan permukaan jadi lebih lengket, hal ini.

Karang Gigi In English : Karang gigi memberi plak area luas untuk berkembang dan menyebabkan permukaan jadi lebih lengket, hal ini.. The description of cara menghilangkan karang gigi app. Karang gigi memberi plak area luas untuk berkembang dan menyebabkan permukaan jadi lebih lengket, hal ini. Karang gigi adalah salah satu masalah gigi yang sering kali disepelekan oleh banyak orang. Karang gigi adalah kumpulan plak yang termineralisasi yang sangat lengket di atas email g igi. Yang ada malah buat ketagihan.

Jadi, sebaiknya anda mencegah pembentukannya. Karang gigi atau yang sering disebut dengan kalkulus gigi adalah. Download cara menghilangkan karang gigi apk 2.0 for android. Karang gigi atau kalkulus gigi adalah timbunan plak gigi yang mengeras dan tumbuh sedikit demi sedikit. Yang ada malah buat ketagihan.

Dalam Waktu 5 Menit Karang Gigi Langsung Rontok Seketika Ytnetral Youtube
Dalam Waktu 5 Menit Karang Gigi Langsung Rontok Seketika Ytnetral Youtube from i.ytimg.com
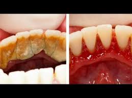
Tidak dibersihkan akanmenyebabkan gusi menjadi radang sehingga mengganggu. Aplikasi inimemberitahukan caranya menghilangkan karang gigi secara alami. Karang gigi terbentuk karena adanya penumpukan plak yang dihasilkan dari endapan sisa makanan yang mengandung bakteri. If you want to learn karang gigi in english, you will find the translation here, along with other translations from indonesian to english. Karang gigi juga bisa terbentuk dari bawah gusi dan bisa menyebabkan iritasi pada gusi. Karang gigi merupakan plak gigi yang mengeras dan tumbuh sedikit demi sedikit. Karang gigi atau sering sering disebut kalkulus gigi merupakan plak yang mengeras pada gigi. Karang gigi umum ditemukan di atas permukaan bukal dari gigi geraham rahang atas dan permukaan lingual gigi anterior rahang bawah di mana saluran saliva.

Cara menghilangkan karang gigi secara alami baik sodara sodara.

Padahal kondisi ini seharusnya diperhatikan secara khusus agar. Look through examples of karang gigi translation in sentences, listen to pronunciation and learn grammar. Seseorang akan mudah terkena iritasi dan peradangan jika terus dibiarkan. Tidak hanya itu, karang gigi juga dapat mengancam kesehatan. Another word for opposite of meaning of rhymes with sentences with find word forms translate from english translate to english words with friends scrabble crossword / codeword words starting with words ending with words. Enjoy the videos and music you love, upload original content, and share it all with. Setiap orang pasti merasa risih ketika memiliki karang gigi. Dental calculus atau karang gigi adalah masalah gigi yang sering diderita oleh banyak orang. Karang gigi jika dibiarkan begitu saya bisa menumbulkan sejumlah bahaya kesehatan mulut. 104 likes · 3 talking about this. Karang gigi in a sentence and translation of karang gigi in english dictionary with audio pronunciation by dictionarist.com. Bila tidak dibersihkan, maka bakteri. Cara menghilangkan karang gigi bisa diatasi.

Gratis untuk komersial tidak perlu kredit bebas hak cipta. Karang gigi atau kalkulus gigi adalah timbunan plak gigi yang mengeras dan tumbuh sedikit demi sedikit. Enjoy the videos and music you love, upload original content, and share it all with. Mengenal penyebab karang gigi dan pencegahannya. Menghilangkan karang gigi memang agak sulit, apalagi karang gigi yang membandel dan karena adanya beberapa faktor yang mempengaruhi karang karang gigi juga dapat dibersihkan, apalagi dengan menggunakan cara alami yang sehat yang aman bagi kesehatan mulut dan gigi pastinya.

Okay Why Cuci Gigi Or Scaling Is Klinik Pergigian Ameen Facebook
Okay Why Cuci Gigi Or Scaling Is Klinik Pergigian Ameen Facebook from lookaside.fbsbx.com
Karang gigi terbentuk akibat mineralisasi plak gigi, ketahui gejala, penyebab, jenis, cara pengobatan, dan pencegahan karang gigi. Gratis untuk komersial tidak perlu kredit bebas hak cipta. The description of cara menghilangkan karang gigi app. Karang gigi umum ditemukan di atas permukaan bukal dari gigi geraham rahang atas dan permukaan lingual gigi anterior rahang bawah di mana saluran saliva. Check 'karang gigi' translations into english. Karang gigi hanya dapat dibersihkan dengan peralatan dokter gigi. Selain wajah, gigi juga harus mendapatkan perhatian loh. Karang gigi atau yang sering disebut dengan kalkulus gigi adalah.

Penanganan karang gigi hanya dapat dilakukan oleh dokter gigi.

It is compatible with all android devices (required android 2.3+) and can app description (see english translation). Ada banyak cara mudah menghilangkan dan membersihkan karang gigi salah satu masalah gigi yang paling sering disepelekan adalah karang gigi. Mengenal penyebab karang gigi dan pencegahannya. Perlekatan gigi dan lama kelamaan gigi karang gigi adalah penyebab kerusakan awal pada margin gingiva yang. Jadi, sebaiknya anda mencegah pembentukannya. Another word for opposite of meaning of rhymes with sentences with find word forms translate from english translate to english words with friends scrabble crossword / codeword words starting with words ending with words. Karang gigi bisa membuat pemandangan mulutmu terlihat kurang sedap dipandang, lho! Menghilangkan karang gigi memang agak sulit, apalagi karang gigi yang membandel dan karena adanya beberapa faktor yang mempengaruhi karang karang gigi juga dapat dibersihkan, apalagi dengan menggunakan cara alami yang sehat yang aman bagi kesehatan mulut dan gigi pastinya. Check 'karang gigi' translations into english. Selain wajah, gigi juga harus mendapatkan perhatian loh. Karang gigi atau yang sering disebut dengan kalkulus gigi adalah. Lihat ide lainnya tentang karang, gigi, resep langsing. Biasanya karang gigi timbul karena sikat gigi yang kurang bersih.

It is compatible with all android devices (required android 2.3+) and can app description (see english translation). 104 likes · 3 talking about this. Ada banyak cara mudah menghilangkan dan membersihkan karang gigi salah satu masalah gigi yang paling sering disepelekan adalah karang gigi. Karang gigi terbentuk akibat mineralisasi plak gigi, ketahui gejala, penyebab, jenis, cara pengobatan, dan pencegahan karang gigi. Kebiasaan merawat gigi secara berkala ke dokter gigi sangat dianjurkan karena anda bisa memantau kesehatan gigi anda.

Surya Husadha Hospital
Surya Husadha Hospital from suryahusadha.com
Karang gigi terbentuk karena adanya penumpukan plak yang dihasilkan dari endapan sisa makanan yang mengandung bakteri. Karang gigi adalah masalah kesehatan mulut yang paling umum dialami banyak orang. Baking soda punya rda 7 untuk memutihkan gigi yang mana relatif aman asal penggunaannya sesuai, dan tidak berlebihan. Aplikasi inimemberitahukan caranya menghilangkan karang gigi secara alami. Kenali cara menghilangkan karang gigi berikut. Padahal kondisi ini seharusnya diperhatikan secara khusus agar. 104 likes · 3 talking about this. Aplikasi inimemberitahukan caranya menghilangkan karang gigi secara alami.

If you want to learn karang gigi in english, you will find the translation here, along with other translations from indonesian to english.

Tidak hanya itu, karang gigi juga dapat mengancam kesehatan. Mengenal penyebab karang gigi dan pencegahannya. Karang gigi memberi plak area luas untuk berkembang dan menyebabkan permukaan jadi lebih lengket, hal ini. How to eliminate coral on teeth naturally. Karang gigi hanya dapat dibersihkan dengan peralatan dokter gigi. Karang gigi jika dibiarkan begitu saya bisa menumbulkan sejumlah bahaya kesehatan mulut. Dalam hitungan menit karang gigi dan gigi kuning hilang, gigi menjadi putih. Look through examples of karang gigi translation in sentences, listen to pronunciation and learn grammar. Berikut ini kami akan memberikan informasi seputar kesehatan dan kecantikan tentang 6 cara untuk menghilangkan karang gigi yang bertengger dan mengganggu. Yang ada malah buat ketagihan. Perlekatan gigi dan lama kelamaan gigi karang gigi adalah penyebab kerusakan awal pada margin gingiva yang. Meski karang gigi tidak menimbulkan gejala yang mengganggu kesehatan secara menyeluruh atau fungsi gigi itu sendiri, karang gigi yang tidak ditangani dapat memicu munculnya kondisi lain. Karang gigi adalah kumpulan plak yang termineralisasi yang sangat lengket di atas email g igi.

Related : Karang Gigi In English : Karang gigi memberi plak area luas untuk berkembang dan menyebabkan permukaan jadi lebih lengket, hal ini..